Published: 2024-08-27

The utility of splicing factor SRSF1 in gliomas grading: A meta-analysis

Mona Mlika, Mohamed Majdi Zorgati, Aymen Makhlouf, Faouzi Mezni

Evolution of treatment for unspecific back pain: From past to future

Daniela Herrera, Christian Hartard, Helmi Ben Saad, Leonardo Montanari Mota, Viviane Alves Dos Santos, Chetna Sinha, Rahma Jedidi, Diana Hartard, Sara Khaled, Stefan Hartard, Manfred Hartard

Insights into the genetic theory of infectious diseases

Abderrahmane Moundir, Leila Jeddane, Ahmed Aziz Bousfiha

Leadership style and gender The case of health managers in Morocco

Sakher Ahizoune, Sahar Bouadel, Kenza Hassouni

Managing scorpion envenomations: A Gabes emergency department case study of 60 patients

Amine Hamdaoui, Houcemeddine Turki, Taha Lassoued, Amal Samet, Imen Rejeb

Invasive pulmonary aspergillosis in patients with acute leukemia

Olfa Kassar, Aicha Ben Kahla, Yosra Fakhfakh, Wiem Feki, Fatma cheikhrouhou, Moez Elloumi

Agreement of cardiac index measurements between ultrasonic cardiac output monitor and transthoracic echocardiography in neonates

Khaled Menif, Ahmed Ayari, Assaad Louati, Shatila Ibn Haj Hassine, Asma Bouziri, Aida Borgi

Assessing Patient Safety Culture: Insights from a Neurological Institute

Hekma Hajji, Emna Bokri, Nader Baffoun, Nesrine Hasni, Chokri Kaddour

Distribution of CYP3A4 and CYP3A5 Polymorphisms and Genotype Combination Implicated in Tacrolimus Metabolism

Ibtissem Hannachi, Zohra Chadli, Emna Kerkeni, Amel Chaabane, Nadia Ben Fredj, Naceur Boughattas, Karim Aouam

Congenital heart disease: epidemiological, genetic and evolutive profil

Emna Marmech, Oumaima Barkallah, Ines Selmi, Nourzed Ben Hamida, Amani Guizani, Haifa Ouerda, Syrine Khlif, Jihen Ben Hfaiedh, Jihed Kanzari, Zied Khlayfia, Sonia Halioui, Ons Azzabi, Nadia Siala

Qualitative study with mothers of children with atopic dermatitis: emotional and social impacts

Mariana Muzzolon, Nathaly Lamas Garcez, Renata R Imoto, Claire Lazzaretti, Vânia Oliveira de Carvalho

Birth defects and epidemiological factors in Tunisia

Kaouther Nasri, Nadia Ben Jemaa, Belhassen Chorfi, Mariem Sahraoui, Aida Masmoudi, Soumaya Siala Gaigi

A Unique Tongue Presentation Revealing a Bronchobiliary Fistula

Adil Zegmout, Youssef Zemmez, Hanane Asri, Hicham Souhi, Hanane El Ouazzani, Ismail Abderrahmane Rhorfi

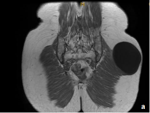
Hydatid cyst of the gluteal muscle: a case report and literature review

Soukaina Adadi, Rabii Isaka Amidou, Zina Lebbar, Hayat Ben Saghroune, Hamza Lakdim, Abdelmajid Elmrini, Zineb Tlamçani

Enhancing Student Success: Implementing Mentoring Programs in Academic Settings : Focus on the Faculty of Medicine of Tunis

Nadia Ben Amor, Lilia Kraoua, Rahma Damak, Soumeya Halayem, Lilia Zakhama, Iheb Labbene, Mohamed Jouini